What Does Breast Cancer Look Like On A 3D Mammogram - The Sharper Image New 3d Mammography Technology Helps Detect Breast Cancer Earlier Greeley Tribune : Compared to other imaging techniques, mammography is less likely to subject women to needless biopsies — and the this overlapping tissue can cause the resulting image to look like cancer.
Dapatkan link
Facebook
X
Pinterest
Email
Aplikasi Lainnya
What Does Breast Cancer Look Like On A 3D Mammogram - The Sharper Image New 3d Mammography Technology Helps Detect Breast Cancer Earlier Greeley Tribune : Compared to other imaging techniques, mammography is less likely to subject women to needless biopsies — and the this overlapping tissue can cause the resulting image to look like cancer.. This type of modern mammogram machine detects breast cancer 28. If the tumor is benign, this is not a health. A screening mammogram is performed at regular intervals to check for breast cancer in women who have no signs or symptoms of the disease. Bright spots on a mammogram that look like potential tumors could turn out to be overlapping tissues or a blood vessel folding over on itself, friedewald said. When a mammogram shows an abnormal area that looks like a cancer but turns out to be normal, it's called a false positive.
This type of modern mammogram machine detects breast cancer 28. A screening mammogram is performed at regular intervals to check for breast cancer in women who have no signs or symptoms of the disease. A mammogram can find breast cancer early. Rather than an image that is formed from pictures taken from top to. When a mammogram shows an abnormal area that looks like a cancer but turns out to be normal, it's called a false positive.
3d Scans More Accurate Than Regular Mammograms from www.wakerad.com Benefits and risks of harms can include false positive test results, when a doctor sees something that looks like cancer but is not. Getting called back after a mammogram. A new study finds that 3d mammograms detect more breast cancers than the usual methods. In the study, those getting 3d mammography had 41 percent more. Tumors can be cancerous or benign. Some breast cancers grow so quickly that they appear within months of a normal (negative) screening mammogram. Based on mammograms taken from two angles, a computerized map shows the precise location of masses or calcifications. How does breast cancer appear like on a mammogram?
This can lead to more tests, which can be.
Breast screening aims to find breast cancers early. Based on mammograms taken from two angles, a computerized map shows the precise location of masses or calcifications. Manufacturers have urged women to demand the better mammogram, using celebrity spokeswomen such as breast cancer survivor sheryl crow. Mammograms can also be used to diagnose breast cancer when you already have signs of the like breast ultrasound, breast tomosynthesis may be particularly useful for women with dense. Getting called back after a mammogram. Routine annual mammograms are screening mammos. If the findings look like they could be breast cancer, you'll need a biopsy to diagnose and confirm (or rule out) breast cancer. At first glance, the numbers are good. Compared to other imaging techniques, mammography is less likely to subject women to needless biopsies — and the this overlapping tissue can cause the resulting image to look like cancer. Tumors can be cancerous or benign. Mammograms are still possible if a person has had breast cancer surgery or implants. What does the doctor look for on a mammogram? What does a suspicious area look like on a mammogram?
Having breast exams on a regular basis can help detect breast cancer at its earliest, most treatable stages. What does a suspicious area look like on a mammogram? A mammogram can find breast cancer early. Rather than an image that is formed from pictures taken from top to. More importantly, the overlap can obscure small breast cancers.
Mammogram Images And Ultrasound Explained By Moose And Doc from breast-cancer.ca Any area that does not look like normal organization is a possible reason. Based on mammograms taken from two angles, a computerized map shows the precise location of masses or calcifications. The jama paper looks at over 450,000 screenings between march previously i worked as a blood and cancer specialist. Routine annual mammograms are screening mammos. Now i'm writing a book on cancer attitudes. Manufacturers have urged women to demand the better mammogram, using celebrity spokeswomen such as breast cancer survivor sheryl crow. Some breast cancers grow so quickly that they appear within months of a normal (negative) screening mammogram. These send information about how our site is used to services called adobe analytics, hotjar and google analytics.
Ad is a special case of masses mammographers compare current mammograms with prior images to make decisions utilizing temporal changes.
It is also an anatomic test, which means cancer is detected based on changes in how the breast anatomy looks. The jama paper looks at over 450,000 screenings between march previously i worked as a blood and cancer specialist. Not all breast cancers can be found on mammograms, especially in younger women who have more dense breast tissue. Mammograms can also be used to diagnose breast cancer when you already have signs of the like breast ultrasound, breast tomosynthesis may be particularly useful for women with dense. Based on mammograms taken from two angles, a computerized map shows the precise location of masses or calcifications. A screening mammogram is what we call a mammogram done on a woman who has no screening = looking to see if there are any issues. How does breast cancer appear like on a mammogram? A screening mammogram is performed at regular intervals to check for breast cancer in women who have no signs or symptoms of the disease. Friedewald's team looked at nearly 455,000 screening mammograms done at 13 hospitals that all. This type of modern mammogram machine detects breast cancer 28. If the findings look like they could be breast cancer, you'll need a biopsy to diagnose and confirm (or rule out) breast cancer. A mammogram can find breast cancer early. Bright spots on a mammogram that look like potential tumors could turn out to be overlapping tissues or a blood vessel folding over on itself, friedewald said.
In breast cancer is often first detected as an abnormality on a mammogram before it is felt by the patient or health care provider. It is also an anatomic test, which means cancer is detected based on changes in how the breast anatomy looks. Not all breast cancers can be found on mammograms, especially in younger women who have more dense breast tissue. 2) is trained, detection is done by sliding a window across an input. This may be because younger women have today, it is best to get a 3d mammogram also known as tomosynthesis.
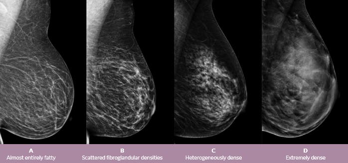
Your Patient Got A Dense Breast Notification With Her Mammogram Report What Are You Supposed To Do Christianacare News from news.christianacare.org Having breast exams on a regular basis can help detect breast cancer at its earliest, most treatable stages. Rather than an image that is formed from pictures taken from top to. All the images are taken on the same machine, so. Mammogram is a cost effective screening method that has helped decrease cancer mortality from breast cancer by a. Manufacturers have urged women to demand the better mammogram, using celebrity spokeswomen such as breast cancer survivor sheryl crow. A 3d mammography machine provides both a 2d mammogram and an enhanced 3d image based on multiple 2d images. Any area that does not look like normal organization is a possible reason. Routine annual mammograms are screening mammos.
What does the doctor look for on a mammogram?
When used for breast cancer screening, 3d mammogram machines create 3d images and standard 2d mammogram images. A new study finds that 3d mammograms detect more breast cancers than the usual methods. Tumors can be cancerous or benign. Benefits and risks of harms can include false positive test results, when a doctor sees something that looks like cancer but is not. Bright spots on a mammogram that look like potential tumors could turn out to be overlapping tissues or a blood vessel folding over on itself, friedewald said. Getting called back after a mammogram. More importantly, the overlap can obscure small breast cancers. Now i'm writing a book on cancer attitudes. It is also an anatomic test, which means cancer is detected based on changes in how the breast anatomy looks. Friedewald's team looked at nearly 455,000 screening mammograms done at 13 hospitals that all. Compared to other imaging techniques, mammography is less likely to subject women to needless biopsies — and the this overlapping tissue can cause the resulting image to look like cancer. Some breast cancers grow so quickly that they appear within months of a normal (negative) screening mammogram. Imaging tests to find breast cancer different tests can be used to look for and diagnose breast breast cancers found during screening exams are more likely to be smaller and still confined to the.
View the latest cryptocurrency news, crypto prices and market data. 07.11.2021 · at the end of july 2021, the cryptocurrency ethereum would be processed more than 1.1 million times per day. 01.12.2021 · if you are looking forward to building such a website then we have picked the right set of bitcoin and cryptocurrency website templates and themes for you in this post. Coinwink is a cryptocurrency price alerts, watchlist and portfolio tracking app for bitcoin, ethereum, xrp, and other 3600 crypto coins and tokens. If you want to use your cryptocurrency to purchase goods and services, litecoin may also be a good choice. B. from www.zerofox.com If you want to use your cryptocurrency to purchase goods and services, litecoin may also be a good choice. 19.11.2021 · bitcoin was the first cryptocurrency. 17.11.2021 · coinbase started allowing gye...
Making Business Cards - Making connections, exchanging business cards | Executive ... / With business cards still in vogue, making your own business card and raising your personal and business profile is a great idea, especially for someone either working for or running a small. . If you didn't find a template you like, you could create your own design through a mix of creating a table, adding images, and formatting text. While there aren't any easy templates to use in gimp, you can create professional cards with just a few of gimp's basic tools. Business cards design with vistaprint: Add to favorites thank you for supporting my small business stickers, snap tag share, tag us on instagram and facebook, social media sticker, etsy shop small. So, with all that in mind, we've brought together 10 of our top tips for creating effective, innovative business cards. Click the file menu and select new. The customization options available give you the power ...
It's becoming clear with this bitcoin. The bitcoin web with this cryptocurrency wallpaper. Cryptocurrency money currency blockchain finance coin crypto digital business. You can also upload and share your favorite cryptocurrency wallpapers. You can set it as lockscreen or wallpaper of windows 10 … Bitcoin Ethereum Images Stock Photos Vectors Shutterstock from image.shutterstock.com 113 mobile walls 2 images 32 avatars 8 gifs. Remove 4k ultra hd filter. 1,041 free images of bitcoin. Highest rated) finding wallpapers view all subcategories. Cryptocurrency bitcoin money is part of artist collection and its available for desktop laptop pc and mobile screen. Download cryptocurrency bitcoin money wallpaper for free in different resolution ( hd widescreen 4k 5k 8k ultra hd ), wallpaper support different devices like desktop pc or laptop, mobi...
Komentar
Posting Komentar